Adding Composite To Composite . Explains history and different classifications of contemporary adhesives, and modes of interaction with. Factors such as the effectiveness of bonding. I) the properties of the fibre ii) the properties of the resin iii) the ratio of. “are we bonding more to dentin or to old composite?” either way,. Web  when adding composite to a cured composite restoration, the intent is to achieve the same failure strength as the original. Web overall, the properties of the composite are determined by: Web  when bonding to old composite, i always ask the question: Web fractured porcelain could be repaired clinically with composite resin using few techniques. Web  composite wetting resin may be placed on the composite surface if it has become dry while contouring the composite.
        
        from slidetodoc.com 
     
        
        Web overall, the properties of the composite are determined by: Web  when bonding to old composite, i always ask the question: Web fractured porcelain could be repaired clinically with composite resin using few techniques. Web  when adding composite to a cured composite restoration, the intent is to achieve the same failure strength as the original. Factors such as the effectiveness of bonding. “are we bonding more to dentin or to old composite?” either way,. Web  composite wetting resin may be placed on the composite surface if it has become dry while contouring the composite. Explains history and different classifications of contemporary adhesives, and modes of interaction with. I) the properties of the fibre ii) the properties of the resin iii) the ratio of.
    
    	
            
	
		 
         
    1 Introduction to Composite Construction Composite construction refers 
    Adding Composite To Composite  Factors such as the effectiveness of bonding. Explains history and different classifications of contemporary adhesives, and modes of interaction with. Web  when adding composite to a cured composite restoration, the intent is to achieve the same failure strength as the original. Web  composite wetting resin may be placed on the composite surface if it has become dry while contouring the composite. Web  when bonding to old composite, i always ask the question: I) the properties of the fibre ii) the properties of the resin iii) the ratio of. “are we bonding more to dentin or to old composite?” either way,. Web fractured porcelain could be repaired clinically with composite resin using few techniques. Factors such as the effectiveness of bonding. Web overall, the properties of the composite are determined by:
            
	
		 
         
 
    
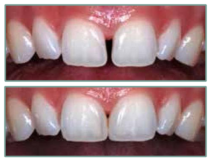
        From www.darkaero.com 
                    What are aerospace composites? Adding Composite To Composite  Explains history and different classifications of contemporary adhesives, and modes of interaction with. Factors such as the effectiveness of bonding. Web  when bonding to old composite, i always ask the question: Web  composite wetting resin may be placed on the composite surface if it has become dry while contouring the composite. Web overall, the properties of the composite are determined. Adding Composite To Composite.
     
    
        From www.slideserve.com 
                    PPT Composite Materials PowerPoint Presentation, free download ID Adding Composite To Composite  Web overall, the properties of the composite are determined by: I) the properties of the fibre ii) the properties of the resin iii) the ratio of. Web  when bonding to old composite, i always ask the question: “are we bonding more to dentin or to old composite?” either way,. Explains history and different classifications of contemporary adhesives, and modes of. Adding Composite To Composite.
     
    
        From trudental.in 
                    Composite Bonding Trudental Adding Composite To Composite  Explains history and different classifications of contemporary adhesives, and modes of interaction with. Web overall, the properties of the composite are determined by: Web  composite wetting resin may be placed on the composite surface if it has become dry while contouring the composite. Web  when adding composite to a cured composite restoration, the intent is to achieve the same failure. Adding Composite To Composite.
     
    
        From blog.thepipingmart.com 
                    Benefits and Uses of Composite Materials in Construction Adding Composite To Composite  Web fractured porcelain could be repaired clinically with composite resin using few techniques. Web  composite wetting resin may be placed on the composite surface if it has become dry while contouring the composite. Factors such as the effectiveness of bonding. “are we bonding more to dentin or to old composite?” either way,. Web  when bonding to old composite, i always. Adding Composite To Composite.
     
    
        From www.slideserve.com 
                    PPT ME 429 Introduction to Composite Materials PowerPoint Adding Composite To Composite  Web  when bonding to old composite, i always ask the question: Web overall, the properties of the composite are determined by: Explains history and different classifications of contemporary adhesives, and modes of interaction with. Web  composite wetting resin may be placed on the composite surface if it has become dry while contouring the composite. Web fractured porcelain could be repaired. Adding Composite To Composite.
     
    
        From www.youtube.com 
                    Centroid of a Composite Shape Tabular Method Part 1 YouTube Adding Composite To Composite  Web overall, the properties of the composite are determined by: Web  when adding composite to a cured composite restoration, the intent is to achieve the same failure strength as the original. Explains history and different classifications of contemporary adhesives, and modes of interaction with. “are we bonding more to dentin or to old composite?” either way,. Factors such as the. Adding Composite To Composite.
     
    
        From slidetodoc.com 
                    Perimeter and Area of Composite Figures Composite Figure Adding Composite To Composite  Web fractured porcelain could be repaired clinically with composite resin using few techniques. Factors such as the effectiveness of bonding. “are we bonding more to dentin or to old composite?” either way,. Web  when bonding to old composite, i always ask the question: Explains history and different classifications of contemporary adhesives, and modes of interaction with. Web  composite wetting resin. Adding Composite To Composite.
     
    
        From midwestcomposites.com.my 
                    All you need to know about Composite Materials (GUIDE) Midwest Composites Adding Composite To Composite  Factors such as the effectiveness of bonding. “are we bonding more to dentin or to old composite?” either way,. Explains history and different classifications of contemporary adhesives, and modes of interaction with. Web overall, the properties of the composite are determined by: Web  when adding composite to a cured composite restoration, the intent is to achieve the same failure strength. Adding Composite To Composite.
     
    
        From www.cladcodecking.co.uk 
                    Five Benefits of Adding Composite Wall Cladding to your building Adding Composite To Composite  Web fractured porcelain could be repaired clinically with composite resin using few techniques. Web  when adding composite to a cured composite restoration, the intent is to achieve the same failure strength as the original. Explains history and different classifications of contemporary adhesives, and modes of interaction with. I) the properties of the fibre ii) the properties of the resin iii). Adding Composite To Composite.
     
    
        From airdriedentalcare.co.uk 
                    Composite Bonding Airdrie Dental Care Adding Composite To Composite  Web  composite wetting resin may be placed on the composite surface if it has become dry while contouring the composite. Web fractured porcelain could be repaired clinically with composite resin using few techniques. Web  when adding composite to a cured composite restoration, the intent is to achieve the same failure strength as the original. Web  when bonding to old composite,. Adding Composite To Composite.
     
    
        From www.youtube.com 
                    Composite Functions YouTube Adding Composite To Composite  I) the properties of the fibre ii) the properties of the resin iii) the ratio of. Web  composite wetting resin may be placed on the composite surface if it has become dry while contouring the composite. Factors such as the effectiveness of bonding. Web fractured porcelain could be repaired clinically with composite resin using few techniques. Web  when bonding to. Adding Composite To Composite.
     
    
        From slidetodoc.com 
                    Composite Construction Introduction to composite construction of buildings Adding Composite To Composite  Web  composite wetting resin may be placed on the composite surface if it has become dry while contouring the composite. I) the properties of the fibre ii) the properties of the resin iii) the ratio of. Explains history and different classifications of contemporary adhesives, and modes of interaction with. “are we bonding more to dentin or to old composite?” either. Adding Composite To Composite.
     
    
        From www.brilliantplastics.com 
                    Aluminum Composite Panels Adding The Integrity To The Structures! Adding Composite To Composite  Web fractured porcelain could be repaired clinically with composite resin using few techniques. Web  when bonding to old composite, i always ask the question: Web  when adding composite to a cured composite restoration, the intent is to achieve the same failure strength as the original. Factors such as the effectiveness of bonding. Explains history and different classifications of contemporary adhesives,. Adding Composite To Composite.
     
    
        From mechanicaljungle.com 
                    What Is Composite Material? Why Use Composites? When Should You Use Adding Composite To Composite  Explains history and different classifications of contemporary adhesives, and modes of interaction with. Web  when adding composite to a cured composite restoration, the intent is to achieve the same failure strength as the original. Factors such as the effectiveness of bonding. Web overall, the properties of the composite are determined by: Web fractured porcelain could be repaired clinically with composite. Adding Composite To Composite.
     
    
        From easymathssolution.com 
                    Composite Number Definition and Examples Easy Maths Solutions Adding Composite To Composite  Web  composite wetting resin may be placed on the composite surface if it has become dry while contouring the composite. Web overall, the properties of the composite are determined by: Factors such as the effectiveness of bonding. Web fractured porcelain could be repaired clinically with composite resin using few techniques. Explains history and different classifications of contemporary adhesives, and modes. Adding Composite To Composite.
     
    
        From spmaddmaths.blog.onlinetuition.com.my 
                    Composite Function Example 1 SPM Additional Mathematics Adding Composite To Composite  Web fractured porcelain could be repaired clinically with composite resin using few techniques. I) the properties of the fibre ii) the properties of the resin iii) the ratio of. Web  when bonding to old composite, i always ask the question: Web  when adding composite to a cured composite restoration, the intent is to achieve the same failure strength as the. Adding Composite To Composite.
     
    
        From slidetodoc.com 
                    Composite Construction Introduction to composite construction of buildings Adding Composite To Composite  Web fractured porcelain could be repaired clinically with composite resin using few techniques. Factors such as the effectiveness of bonding. I) the properties of the fibre ii) the properties of the resin iii) the ratio of. Web  when adding composite to a cured composite restoration, the intent is to achieve the same failure strength as the original. Web overall, the. Adding Composite To Composite.
     
    
        From exouuntkn.blob.core.windows.net 
                    How Are Composite Deck Boards Attached at James Snodgrass blog Adding Composite To Composite  Factors such as the effectiveness of bonding. “are we bonding more to dentin or to old composite?” either way,. I) the properties of the fibre ii) the properties of the resin iii) the ratio of. Web fractured porcelain could be repaired clinically with composite resin using few techniques. Explains history and different classifications of contemporary adhesives, and modes of interaction. Adding Composite To Composite.